
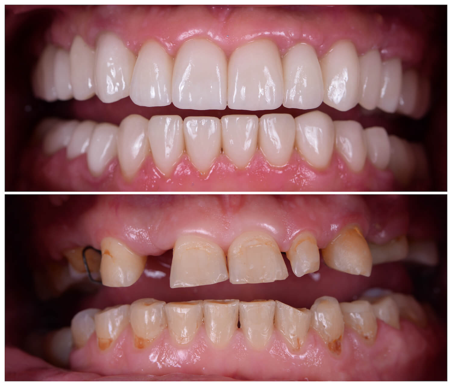
Full Mouth Rehabilitation, also known as Full Mouth Reconstruction, is considered one of the most comprehensive and transformative procedures in modern dentistry. It is a thorough strategy developed with patients whose teeth are affected by systemic issues. This focuses on restoring the health, functionality, and appearance of the entire mouth. This is not a fix, but rather a long-term solution for stability and comfort.
Full Mouth Rehabilitation is an individualised approach that addresses multiple issues in the mouth simultaneously, such as broken, broken-off, decayed, or worn teeth. It addresses bite issues (occlusion), chewing muscles, and jaw joints, ensuring that all parts of the mouth work together effectively. It is usually treated using a mix of various advanced procedures, and this may include:
The process of selecting an appropriate specialist is vital in such a complicated process. At Maxcare Dental and Implant Clinic, it is conducted by Dr Hemant Kemkar, B.D.S., M.S. (England), who is an expertly precise specialist.
When you have extensive oral health issues, it is time to take the first step towards restoring your dental health and confidence.